El chalazion es una lesión inflamatoria benigna que se presenta como un nódulo indoloro en el párpado.
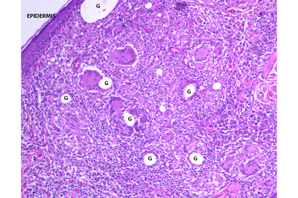
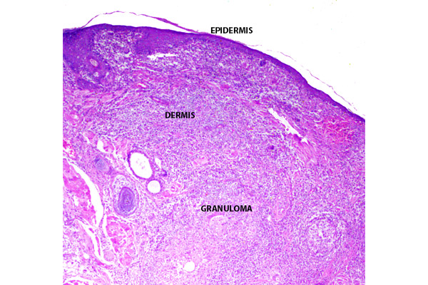
En un corte histológico del párpado se aprecia un granuloma compuesto principalmente por células epitelioides y células gigantes.
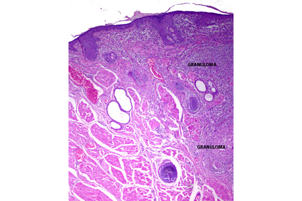
Los granulomas se distribuyen difusamente, alterando la histología del párpado.

Presencia de granulomas en la dermis superficial y profunda.

Los granulomas pueden coalescer y constituir estructuras de gran tamaño. La grasa que se encuentra en las glándulas sebáceas (Zeis, Meibomio, etc.) se comporta como un material extraño y desencadena dicha respuesta.

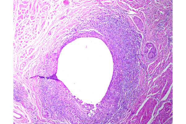
El granuloma está ocupado en casi su totalidad por una gran acumulación de grasa, que se observa como un espacio ópticamente vacío.

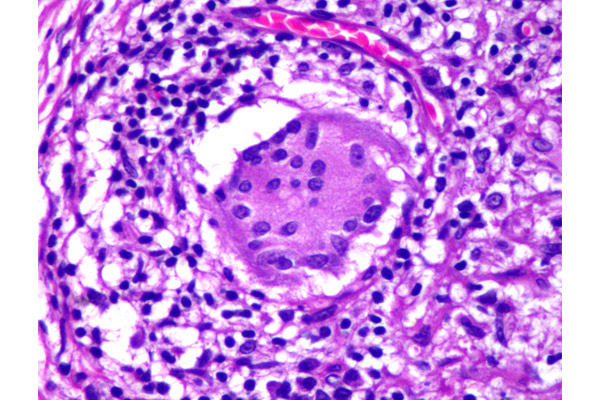
En algunas oportunidades, la grasa no se observa fácilmente. Sin embargo, en este campo se reconocen células gigantes de tipo cuerpo extraño, caracterizadas por la distribución al azar de sus núcleos.

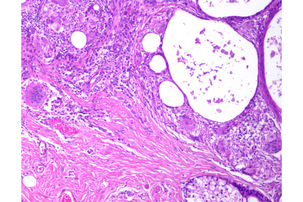
En el citoplasma de las células gigantes, y libre en el tejido se puede observar acumulación de lípidos.

La reacción inflamatoria rodea los anexos pilosos y las glándulas de Moll, alcanzando la capa muscular.

El chalazión suele estar rodeado de una cápsula alrededor de la lesión, aunque no se observa fácilmente en todos los casos.

Se identifica una zona de supuración, un microabsceso (MA) en el espesor del granuloma. Las células epitelioides y el infiltrado inflamatorio mononuclear están rodeando externamente el granuloma.

El infiltrado inflamatorio que acompaña la lesión exhibe abundantes plasmocitos (círculos negros).

Algunas células gigantes pueden contener gotas de grasa y otras estar desprovistas de esta.

A mayor aumento se aprecia que las células epitelioides son de citoplasma eosinofílico y de límites celulares poco precisos. Los microabscesos están constituidos por polimorfonucleares neutrófilos en su mayoría.

Las células gigantes de tipo Touton se pueden observar en esta patología.