
Molusco contagioso
El molusco contagioso es una infección viral de la piel causada por el virus del molusco contagioso, que pertenece a la familia Poxviridae. Clínicamente se caracteriza por la presencia de
Atlas de Patología Ocular

El molusco contagioso es una infección viral de la piel causada por el virus del molusco contagioso, que pertenece a la familia Poxviridae. Clínicamente se caracteriza por la presencia de

La verruga vulgar es una lesión benigna causada por infección por el virus del papiloma humano que se observa como pápulas verrugosas en el margen palpebral o en su superficie
Las micosis palpebrales representan un grupo de patologías oculares relativamente infrecuentes, pero clínicamente importantes debido a su potencial para imitar condiciones más comunes, lo que a menudo retrasa el diagnóstico

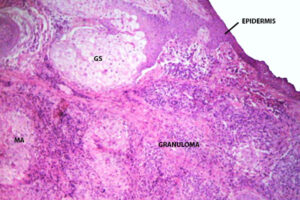
Corte de piel del párpado donde se reconocen epidermis y dermis, esta última con anexos pilosebáceos (GS) y cambios de dermatitis granulomatosa supurativa y crónica. El granuloma está mal formado

La candidiasis cutánea es típicamente una infección superficial que afecta principalmente la epidermis, aunque en casos de inmunosupresión o candidiasis mucocutánea crónica, la afectación puede ser más profunda. El hallazgo
Las blefaritis parasitarias son inflamaciones del párpado causadas por la infestación de artrópodos o protozoos, lo que las diferencia de las causas infecciosas comunes. Las etiologías más frecuentes incluyen los

La leishmaniasis cutánea en el párpado comparte las características histológicas generales de la forma cutánea, pero su localización periocular (cercana a estructuras sensibles) la hace particularmente importante. La histopatología de

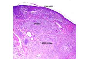
El chalazion es una lesión inflamatoria benigna que se presenta como un nódulo indoloro en el párpado. En un corte histológico del párpado se aprecia un granuloma compuesto principalmente por

Los xantelasmas son lesiones cutáneas amarillentas blandas y elevadas que se encuentran comúnmente en los párpados superiores e inferiores. Segmento de piel palpebral, desprovista de anexos pilosebáceos, muestra rectificación del