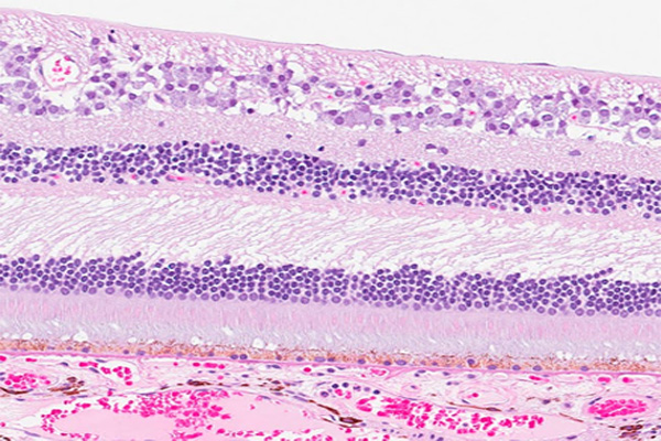
OCULARPAT
El globo ocular y sus anexos vistos a través del microscopio: una aproximación sencilla al alcance de quienes deseen entender el órgano de la visión.