
Dibujo esquemático de la vía visual
El nervio óptico es la conexión nerviosa entre la retina y el cerebro. No es un nervio periférico sino un tracto de sustancia blanca del sistema nervioso central. Su longitud
– Atlas de Anatomía e histología

El nervio óptico es la conexión nerviosa entre la retina y el cerebro. No es un nervio periférico sino un tracto de sustancia blanca del sistema nervioso central. Su longitud

Las meninges envuelven al nervio óptico y son tres: duramadre, aracnoides y piamadre, desde el exterior al interior.

La capa más externa es la duramadre, constituida por tejido colágeno denso y que se continúa anteriormente con la esclera y en el ápex de la órbita se fusiona con

Por dentro de la duramadre se encuentra la aracnoides, constituida por un tejido con abundantes células (células meningoteliales) que tiene finas trabéculas que la conectan con la duramadre y con

La piamadre es la más vascular de las meninges y la única envoltura que está unida firmemente al nervio, ella envuelve los capilares a medida que entran al espesor del

La piamadre y la aracnoides forman las leptomeninges y la duramadre, la paquimeninge; entre la duramadre y la aracnoides se encuentra el espacio subdural que es considerado un espacio potencial

Hacia adelante, donde las meninges se insertan en la esclera, los espacios subaracnoideo y subdural terminan en un fondo de saco sin comunicarse con ninguna de las cámaras intraoculares; estos

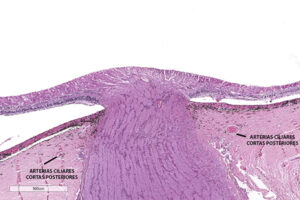
La vascularización del nervio óptico comprende un sistema que se encarga de la parte periférica del nervio y otro, de la porción central del nervio. El sistema periaxial deriva de

En la región de la lámina cribosa y cabeza de nervio óptico hay una red capilar extensa derivada del círculo arterial de Zinn-Haller que se encuentra formado por las arterias

Histológicamente, el nervio óptico está constituido por fibras parcialmente mielinizadas, células intersticiales: astrocitos, oligodendrocitos y microglía, y los septos fibrovasculares de la piamadre.