
Dibujo esquemático de la conjuntiva
La conjuntiva es una membrana mucosa, que como parte de los tegumentos externos, recubre la superficie posterior de los párpados y la superficie anterior del globo con excepción de la
– Atlas de Anatomía e histología

La conjuntiva es una membrana mucosa, que como parte de los tegumentos externos, recubre la superficie posterior de los párpados y la superficie anterior del globo con excepción de la

El pliegue semilunar es un pliegue suave, móvil, de la conjuntiva bulbar que se encuentra cerca del canto interno entre la carúncula y el globo ocular.

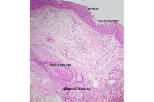
La carúncula está formada por otro pliegue cerca del canto interno; también es una zona de transición que combina una membrana mucosa y elementos cutáneos entremezclados. Está compuesta de una

Histológicamente, la mayor parte de la conjuntiva está recubierta por dos o más capas de células cilíndricas de epitelio estratificado columnar.

Normalmente, en las capas superficiales del epitelio, se encuentran células caliciformes redondas u ovales. Ellas son mucho más grandes que las células epiteliales y su contenido mucoso rechaza el núcleo

El estroma conjuntival está constituido por tejido conectivo, el cual es denso y delgado sobre el tarso, laxo y amplio en el fórnix y sobre el globo.

El tejido conectivo estromal se hace más abundante a partir del margen superior del tarso superior y forma crestas y arrugas que se transforman en pliegues en ambos fórnices. Entre

El epitelio del pliegue semilunar es similar al de la conjuntiva que lo rodea y contiene numerosas células caliciformes. En la sustancia propia de esta región algunas veces puede encontrarse

El epitelio de la carúncula es grueso y de tipo estratificado escamoso con células caliciformes. En su cabeza se encuentran varios pelos tipo lanugo con varias glándulas sebáceas grandes. También