
Dibujo esquemático del globo ocular y anexos
Los párpados son dos delgadas capas de piel (superior e inferior) que recubren y protegen los globos oculares.
– Atlas de Anatomía e histología

Los párpados son dos delgadas capas de piel (superior e inferior) que recubren y protegen los globos oculares.

Están compuestos por cuatro capas: piel, capa muscular, capa tarsal y conjuntiva palpebral.

La piel está conformada por la epidermis, de epitelio plano estratificado queratinizado y la dermis de tejido conectivo denso.

La capa basal de la epidermis consta de una hilera de células que descansan sobre una membrana basal la cual está firmemente adherida al corion. Las células son columnares con

Por encima de la capa basal se encuentran varias capas de células espinosas o estrato espinoso, poligonales con puentes intercelulares bien desarrollados. Ellas derivan de la capa de células basales

Inmediatamente sobre el estrato espinoso está la capa granular, formada por una hilera de células, alargadas, aplanadas, que contienen gránulos gruesos de queratohialina. Frecuentemente en el párpado esta capa es

La capa más externa de la piel es la capa córnea que consta de células planas, queratinizadas, sin núcleo.

Una variedad de anexos epidérmicos están presentes en los párpados: las glándulas sebáceas de la piel que son glándulas holocrinas, no tienen luz y su secreción se forma por destrucción

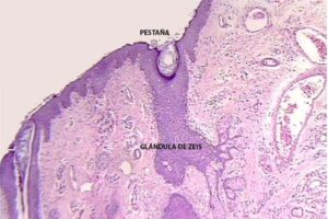
Las glándulas sebáceas de las pestañas (glándulas de Zeis) vacían su contenido en el folículo de la pestaña.

Las glándulas sebáceas tienen una doble capa. El estrato germinativo (externo), constituido por células cúbicas bajas o planas, y la capa interna secretora cuyas células tienen un citoplasma espumoso.