
Corte histológico del segmento anterior del globo ocular
El iris está ubicado detrás de la córnea, frente al cristalino y separa la cámara anterior de la cámara posterior.
– Atlas de Anatomía e histología

El iris está ubicado detrás de la córnea, frente al cristalino y separa la cámara anterior de la cámara posterior.

La porción pupilar asienta sobre la superficie anterior del cristalino, y su base se une a la superficie anterior o cara anterior del cuerpo ciliar, aproximadamente a 1,5 mm, detrás

El iris forma un diafragma, que permite la entrada de la luz al ojo únicamente a través de la pupila. Esta apertura circular está situada ligeramente nasal y hacia abajo

Esta apariencia trabeculada es producida por los vasos y bandas de fibras que se encuentran en su estroma, de curso generalmente radial desde la pupila hacia la base del iris.

El collarete o círculo vascular menor del iris está formado por un anillo de vasos en el estroma anterior en la unión del tercio interno con el tercio medio, dividiendo

Las criptas de Fuchs (*) son excavaciones o depresiones de tamaño variable en toda la superficie anterior del iris. En el estroma anterior del iris se encuentran manchas marrones planas

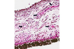
Histológicamente, el iris consta de cuatro capas: La limitante anterior, el estroma con el músculo esfínter de la pupila en su espesor, el músculo dilatador y el epitelio posterior.

La capa limitante anterior está formada por una condensación de células estromales, varía considerablemente de grosor y pigmentación en diferentes porciones de un mismo iris, hay también muchos sitios en

El estroma contiene vasos sanguíneos, nervios, melanocitos, células en acúmulo y el esfínter muscular de la pupila, inmersos en un tejido conectivo laxo que permite su rápida contracción y expansión.

Los vasos poseen paredes gruesas que están constituidas por un endotelio que tapiza la luz y un grueso collar de fibrillas colágenas; esta adventicia gruesa puede contribuir a la baja