
Globo ocular de embrión de 9-10 semanas de desarrollo
La retina está está compuesta por tejido proveniente de la vesícula óptica y consta de una capa pigmentada derivada de la capa externa de la copa óptica y una capa
– Atlas de Anatomía e histología

La retina está está compuesta por tejido proveniente de la vesícula óptica y consta de una capa pigmentada derivada de la capa externa de la copa óptica y una capa

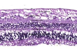
La capa pigmentada (epitelio pigmentado de la retina – EPR) y la capa sensorial que consta de nueve capas: capa de fotoreceptores, membrana limitante externa, capa nuclear externa, capa plexiforme

El epitelio pigmentado es una capa que consta de una hilera de células hexagonales de tamaño uniforme (16 μ de diámetro) y disposición regular. Las células tienen un núcleo redondo

La capa de conos y bastones tiene una disposición en empalizada de sus elementos, los bastones son delgados cilíndricos, su longitud corresponde al grosor de toda la capa y están

La membrana limitante externa está constituida por uniones tipo zónula adherente entre los fotoreceptores y las prolongaciones de las células de Müller.

La capa nuclear externa está formada por ocho o nueve capas de células con núcleo densamente teñido. Según la morfología nuclear podemos distinguir dos tipos de células: una más pequeña

La capa plexiforme externa está formada por fibras que se encuentran laxamente dispuestas: los axones de los bastones y conos y las dendritas de las células bipolares y horizontales; en

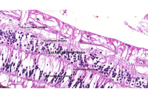
La capa nuclear interna es una masa de células muy juntas que semeja la nuclear externa pero más fina; tiene tres tipos de neuronas, las células bipolares cuyas dendritas entran

La capa plexiforme interna está formada por un fino retículo de fibras en donde se encuentran las sinapsis de las células bipolares, con las células amacrinas y ganglionares.

Se aprecia con cromógeno rojo que la capa plexiforme interna (CPI) es positiva a la proteína ácido gliofibrilar (PAGF), la capa plexiforme externa (CPE) de menor espesor, también es positiva.