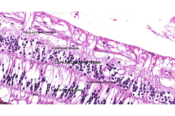
La capa nuclear interna es una masa de células muy juntas que semeja la nuclear externa pero más fina; tiene tres tipos de neuronas, las células bipolares cuyas dendritas entran en sinapsis con los axones de las células fotoceptoras, sus axones terminan en la capa plexiforme interna, formando sinapsis con dendritas de las células ganglionares; las células horizontales tienen procesos arborizantes que hacen sinapsis con los procesos de conos y bastones y con las fibras de las células bipolares adyacentes; las células amacrinas que tienen forma de pera y sus procesos se extienden dentro de la capa plexiforme interna, donde hacen sinapsis con las dendritas de las células ganglionares. El núcleo de las fibras de Müller también se encuentra en esta capa. Las fibras de estas células se extienden internamente para formar parte de la membrana limitante externa.
Capa nuclear interna
- Categoría de la entrada:Anatomía e histología / Retina