
Cuerpo ciliar
Se extiende desde la base del iris y se continúa posteriormente con la coroides a nivel de la ora serrata. Tiene una amplitud aproximada de 6 – 6,5 mm. En
– Atlas de Anatomía e histología

Se extiende desde la base del iris y se continúa posteriormente con la coroides a nivel de la ora serrata. Tiene una amplitud aproximada de 6 – 6,5 mm. En

Está compuesto de dos porciones: la corona ciliaris o pars plicata que forma los 2 mm anteriores y contiene los procesos ciliares, que son crestas irregulares radiales de 2 mm

El orbiculus ciliaris o pars plana es la parte posterior del cuerpo ciliar, mide de 4 – 4,5 mm de longitud. Posteriormente el estroma de la pars plana se confunde

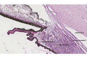
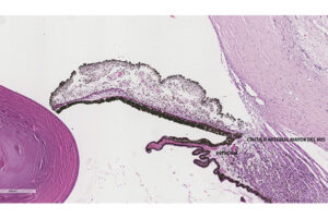
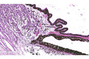
La unión representa una línea festoneada (la ora serrata) cuyas proyecciones convexas están dirigidas posteriormente.

Histológicamente, el cuerpo ciliar consta de seis capas: la más externa o lámina fusca, el músculo ciliar, la capa vascular, la lámina vítrea, el epitelio y la membrana limitante interna.

La lámina fusca o tejido plano supracoroideo es un espacio potencial entre la esclera y el cuerpo ciliar. El músculo ciliar se puede separar en tres grupos de fibras: las

El círculo vascular mayor del iris yace en el cuerpo ciliar frente a la porción circular del músculo ciliar.

El tejido conectivo estromal de la capa del músculo ciliar, contiene vasos sanguíneos, nervios y melanocitos. La capa vascular es la continuación de la capa vascular coroidea. El estroma de

Cada proceso ciliar es un pliegue de tejido conectivo, con un corazón vascular cubierto por epitelio ciliar.

La membrana de Bruch se divide en la ora serrata en una capa elástica externa y una interna, cuticular, que están separadas por una capa de tejido conectivo avascular, visibles