
Vítreo
El vítreo es un gel transparente que llena el globo ocular por detrás del cristalino (C) y se adapta a la topografía de las estructuras que lo rodean. El vítreo
– Atlas de Anatomía e histología

El vítreo es un gel transparente que llena el globo ocular por detrás del cristalino (C) y se adapta a la topografía de las estructuras que lo rodean. El vítreo

El vítreo se adhiere a la superficie posterior del cristalino a nivel de un área en forma de anillo de 8 – 9 mm de diámetro que constituye el ligamento

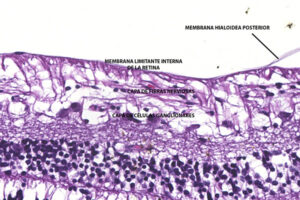
La membrana hialoidea posterior, en el ojo normal, es una condensación de los filamentos del vítreo a nivel de su unión con la membrana basal en la superficie interna de

Alrededor de 2 mm por delante de la ora serrata aparece una condensación de las fibras del vítreo, la membrana hialoidea anterior o membrana limitante anterior, la cual separa al

Las fibrillas del vítreo están más densamente condensadas en su base que en ningún otro sitio y en su mayoría se expanden desde su base hacia el cuerpo vítreo. En

Estructuralmente, el vítreo está constituido por bandas virtualmente acelulares formadas por filamentos de colágeno extremadamente finos; estas bandas están interconectadas y dispuestas en un patrón laminado irregular, concéntricas con la