Ir al contenido

OCULARPAT

  • +58 4246330249
  • [email protected]
WhatsApp
  • Inicio
  • Conócenos
    • ¿Quiénes somos?
    • Historia
  • Atlas
    • Atlas de Anatomía e Histología
    • Atlas de Patología Ocular
  • Páginas
    • Casos destacados
    • Técnicas histológicas e histoquímicas
    • Curso de Patología Ocular (UCV)
    • Tutoriales
    • Publicaciones
  • Contacto
  • Inicio
  • Conócenos
    • ¿Quiénes somos?
    • Historia
  • Atlas
    • Atlas de Anatomía e Histología
    • Atlas de Patología Ocular
  • Páginas
    • Casos destacados
    • Técnicas histológicas e histoquímicas
    • Curso de Patología Ocular (UCV)
    • Tutoriales
    • Publicaciones
  • Contacto

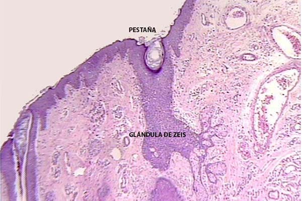
Pestaña y glándula de Zeis respectiva

En este momento estás viendo Pestaña y glándula de Zeis respectiva
  • Categoría de la entrada:Anatomía e histología / Párpado

Las glándulas sebáceas de las pestañas (glándulas de Zeis) vacían su contenido en el folículo de la pestaña.

También podría gustarte

Lee más sobre el artículo Piel (epidermis y dermis)

Piel (epidermis y dermis)

5 noviembre, 2024
Lee más sobre el artículo Dibujo esquemático de las partes del aparato lagrimal

Dibujo esquemático de las partes del aparato lagrimal

19 abril, 2025
Lee más sobre el artículo Vascularización del nervio óptico

Vascularización del nervio óptico

19 abril, 2025
  • Atlas de Anatomía e Histología
  • Prólogo
  • Anatomía e histología
  • – Párpado
  • – Conjuntiva
  • – Córnea
    • — Córnea
    • — Limbo corneoescleral
    • — Ángulo de la cámara anterior
  • – Tracto uveal
    • — Iris
    • — Cuerpo ciliar
    • — Coroides
  • – Retina
  • – Nervio óptico
  • – Vítreo
  • – Cristalino
  • – Órbita
  • – Aparato lagrimal

La llave del Conocimiento

CONTACTO

  • +58 4246330249
  • [email protected]
  • www.ocularpat.com

ENLACES

  • Conócenos
  • Atlas
  • Páginas
  • Contacto

2025 © Todos los Derechos Reservados – Desarrollado por Oreón Digital