Los xantelasmas son lesiones cutáneas amarillentas blandas y elevadas que se encuentran comúnmente en los párpados superiores e inferiores.

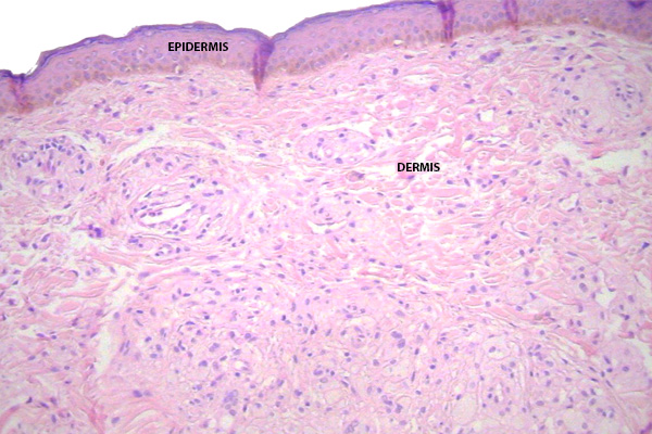
Segmento de piel palpebral, desprovista de anexos pilosebáceos, muestra rectificación del epitelio e hiperpigmentación de la capa basal.

En la dermis se aprecia una gran acumulación de lípidos.

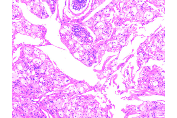
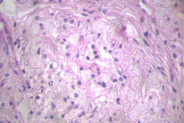
Los lípidos se encuentran en el citoplasma de los macrófagos, acompañados de ocasionales células inflamatorias mononucleares.

Los macrófagos se transforman en células gigantes, cuyo citoplasma está lleno de vacuolas microscópicas.

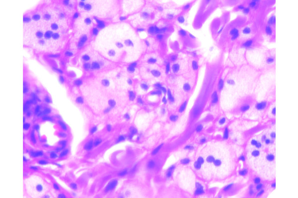
Las células espumosas muestran límites celulares evidentes y el citoplasma microvacuolado.