Tejido conectivo estromal

En este momento estás viendo Tejido conectivo estromal

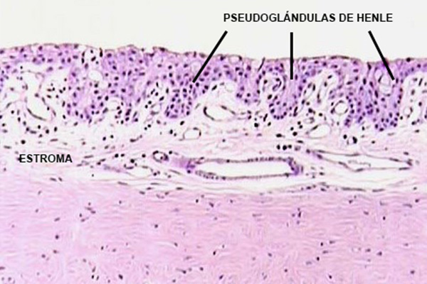
El tejido conectivo estromal se hace más abundante a partir del margen superior del tarso superior y forma crestas y arrugas que se transforman en pliegues en ambos fórnices. Entre estos pliegues, el epitelio puede quedar atrapado en el estroma y formar criptas (pseudoglándulas de Henle).