Ir al contenido

OCULARPAT

  • +58 4246330249
  • [email protected]
WhatsApp
  • Inicio
  • Conócenos
    • ¿Quiénes somos?
    • Historia
  • Atlas
    • Atlas de Anatomía e Histología
    • Atlas de Patología Ocular
  • Páginas
    • Casos destacados
    • Técnicas histológicas e histoquímicas
    • Curso de Patología Ocular (UCV)
    • Tutoriales
    • Publicaciones
  • Contacto
  • Inicio
  • Conócenos
    • ¿Quiénes somos?
    • Historia
  • Atlas
    • Atlas de Anatomía e Histología
    • Atlas de Patología Ocular
  • Páginas
    • Casos destacados
    • Técnicas histológicas e histoquímicas
    • Curso de Patología Ocular (UCV)
    • Tutoriales
    • Publicaciones
  • Contacto

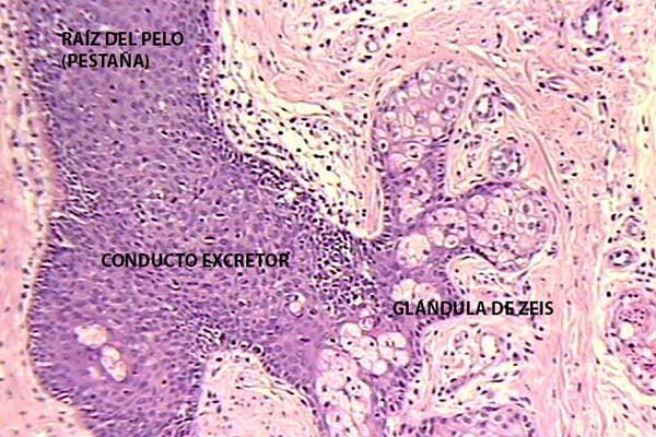
Detalle de la raíz de la pestaña y glándula de Zeis

En este momento estás viendo Detalle de la raíz de la pestaña y glándula de Zeis
  • Categoría de la entrada:Anatomía e histología / Párpado

La secreción se vacía en un saco o conducto que está revestido por epitelio estratificado escamoso. El epitelio del conducto se continúa con la envoltura externa de la raíz del pelo y con el epitelio de la epidermis.

También podría gustarte

Lee más sobre el artículo Fibras del vítreo

Fibras del vítreo

19 abril, 2025
Lee más sobre el artículo Capas del epitelio posterior

Capas del epitelio posterior

6 marzo, 2025
Lee más sobre el artículo Células epiteliales del cristalino

Células epiteliales del cristalino

19 abril, 2025
  • Atlas de Anatomía e Histología
  • Prólogo
  • Anatomía e histología
  • – Párpado
  • – Conjuntiva
  • – Córnea
    • — Córnea
    • — Limbo corneoescleral
    • — Ángulo de la cámara anterior
  • – Tracto uveal
    • — Iris
    • — Cuerpo ciliar
    • — Coroides
  • – Retina
  • – Nervio óptico
  • – Vítreo
  • – Cristalino
  • – Órbita
  • – Aparato lagrimal

La llave del Conocimiento

CONTACTO

  • +58 4246330249
  • [email protected]
  • www.ocularpat.com

ENLACES

  • Conócenos
  • Atlas
  • Páginas
  • Contacto

2025 © Todos los Derechos Reservados – Desarrollado por Oreón Digital