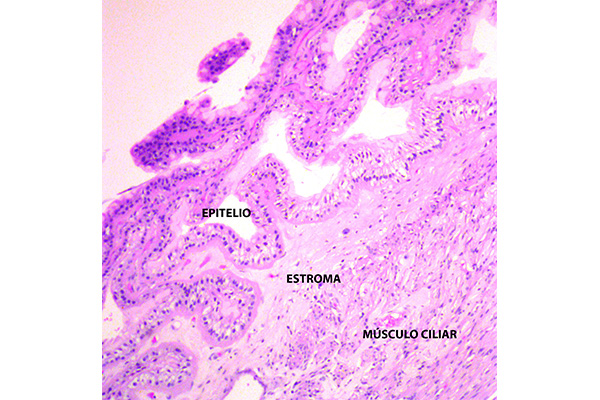
El epitelio consta de dos capas de células, la más externa pigmentada. La capa más interna del epitelio ciliar, se va pigmentando gradualmente a medida que se aproxima a la raíz del iris.
En tejidos desprovistos de pigmento, se observan claramente las dos capas de células epiteliales
pars plicata
pars plana.

